Cabinet dentaire des Docteurs Prats & Alami
Chirurgiens-Dentistes à CABESTANY près de PERPIGNAN
13 Rue du comité de Baixas Résidence du domaine d'Estany, Bât. B, 66330 CABESTANY
+33 4 68 67 15 72
Cabinet dentaire des Docteurs Prats & Alami
Chirurgiens-Dentistes à CABESTANY près de PERPIGNAN

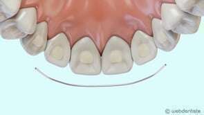
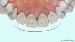
Fil de contention


video-play-icon

Création par Webdentiste

Connexion