Blog - Page 3

Bruxisme et usure dentaire

Bruxisme et usure dentaire

Implant et régénération osseuse

Implant et régénération osseuse

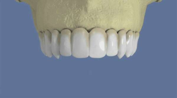
Maxillaire : bridge vissé sans fausse gencive

Maxillaire : bridge vissé sans fausse gencive

Le traitement non chirurgical de la parodontite

Le traitement non chirurgical de la parodontite

Traitement orthodontique esthétique par gouttières

Traitement orthodontique esthétique par gouttières

Le cas spécifique de la luxation de la mâchoire

Le cas spécifique de la luxation de la mâchoire

Fixation d’une prothèse par une barre sur 4 implants

Fixation d’une prothèse par une barre sur 4 implants

Extraction et implantation immédiate – mise en esthétique directe

Extraction et implantation immédiate – mise en esthétique directe

Traitement orthodontique : les règles du succès

Traitement orthodontique : les règles du succès

Traitement d'une carie par inlay/onlay

Traitement d'une carie par inlay/onlay

Nettoyage des brackets avec brossette interdentaire

Nettoyage des brackets avec brossette interdentaire

Comblement de sinus par voie latérale (sinus lift) avec implantation différée

Comblement de sinus par voie latérale (sinus lift) avec implantation différée

Affichage des articles 25-36 sur 197